Scheduling your dental visit with Dr Adam Alford is quick and hassle-free.
Request an AppointmentHands-on experience in general, cosmetic, implant, orthodontic, and paediatric dentistry.
View All DoctorWe offer 24/7 service for dental emergencies. We’re here around the clock to ensure you receive urgent care.
Contact UsThe practice is led by Dr Adam Alford, a dentist with empathy and experience who provides care for everyone: toddlers to old people. If it’s a routine dental exam or full mouth implant reconstruction in Brisbane, we mould every visit to be comfortable and stress-free, taking into account your individual needs.
Our proficiency extends to anything and everything, including e wisdom teeth extraction Brisbane, Brisbane wisdom tooth removal, and Brisbane wisdom molar surgery, and complex Brisbane tooth extractions, both for adults and kids. Every extraction, whether from kids or from adults, is performed as safely, accurately, and comfortably as possible, no matter if you need a kids tooth extraction Brisbane or an adult extraction Brisbane.
Patients with pain in their jaws, heads, or bites will benefit from TMJ treatments that are specific to the condition offered by Adam Alford TMJ specialist Brisbane. With a focus on diagnosis and management of TMJ disorder Brisbane and temporomandibular joint Brisbane concerns using advanced TMD therapy Brisbane, Adam Alford is one of the most sought-out TMJ specialists in the Brisbane area.


Led by Dr Adam Alford Brisbane, our team combines experience, technology, and compassion to deliver world-class treatment in a comfortable and caring environment.
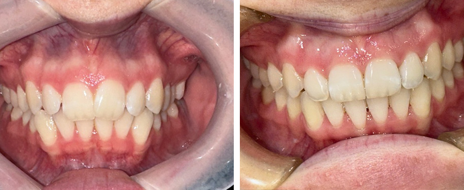
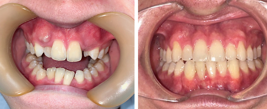
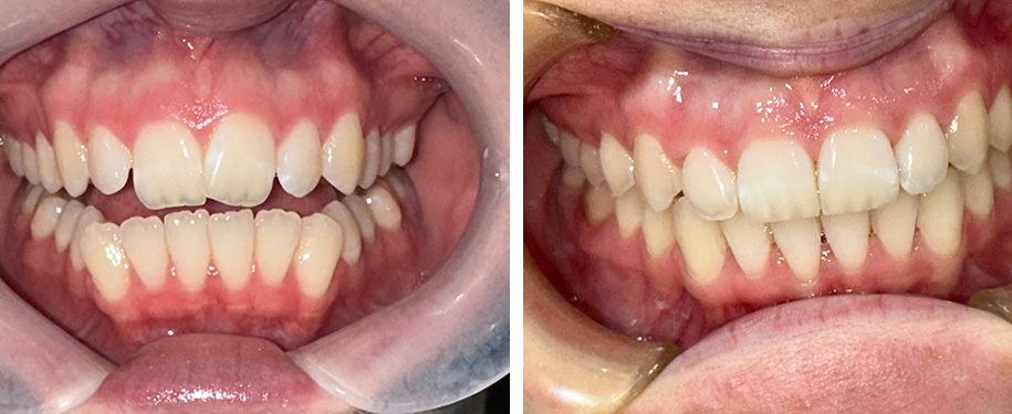
We provide discreet teeth-straightening solutions, including Invisalign Brisbane, Invisalign Teen Brisbane, clear aligners Brisbane, and adult Invisalign Brisbane.
Restore your smile in just one appointment with single visit crowns Brisbane and CEREC same day crowns Brisbane.
We offer dental implants Brisbane, cosmetic dental implants Brisbane, and reconstructive dental implants Brisbane with lasting, natural results.
Our general dentistry Brisbane and preventative dental care Brisbane services focus on keeping your teeth healthy for life.
As a gentle Dr Adam Alford paediatric dentist Brisbane, we provide caring paediatric dentistry Brisbane for children.
We specialize in advanced implant solutions such as All on 4 Brisbane, All on X dental implants Brisbane, and fair implant reconstruction Brisbane.
We also perform wisdom teeth extraction Brisbane, Brisbane wisdom tooth removal, and Brisbane wisdom molar surgery with expert precision to ensure a smooth recovery.
Straightening your smile with orthodontic services Brisbane, including braces Brisbane, clear aligners, and growth-oriented orthodontics for children.
Improve the look of your smile with cosmetic dentistry Brisbane options like teeth whitening, porcelain veneers, and custom crowns.
For cosmetic and functional reasons, we perform full mouth reconstruction Brisbane and full mouth implant reconstruction Brisbane.
We cater general & family dentistry Brisbane services for any age, from infants to elderly, to guarantee continuity of oral health promotion and preventive care.
Our growth management orthodontics Brisbane service monitors the development of your child’s jaws and teeth parameters to guide their growth into a healthier smile in the future.
As an Adam Alford TMJ specialist Brisbane, we diagnose and treat TMJ disorder Brisbane and temporomandibular joint Brisbane problems.
We are experts in Adam Alford wisdom teeth extraction Brisbane, offering gentle, safe removal of impacted or problematic wisdom teeth for patients of all ages.
The team under the supervision of Dr. Adam Alford, trusted dentist in Brisbane creates great results under patient-first approaches.
We deliver safe, precise, and comfortable care for wisdom teeth extraction Brisbane and advanced Brisbane wisdom molar surgery.
We offer All on 4 Brisbane, All on X dental implants Brisbane, fair implant reconstruction Brisbane.
We provide paediatric dentistry Brisbane for children, including child dentist Brisbane care.
From implant surgery Brisbane to CEREC same day crowns Brisbane, we use cutting-edge dental technology for efficient treatments.

We're located on 27 Adelaide St, Brisbane City. Simply complete this contact form to arrange your first appointment!
Whether you need wisdom teeth extraction Brisbane, Brisbane tooth extractions, TMJ treatment Brisbane, or dental implants Brisbane, simply call or book online.
Once your needs are assessed, we’ll create a personalised treatment plan and schedule.
On your appointment day, you’ll meet with our friendly and experienced team.
You’ll receive expert care from a trusted professional – including Dr Adam Alford implant dentist Brisbane.


With Bupa’s Members First Ultimate preventive dental program, and eligible extras cover that includes general dentistry Brisbane, you can enjoy exceptional value on a range of treatments – from routine dental exams Brisbaneand preventative dental care Brisbane to specialised procedures like wisdom teeth extraction Brisbane, Brisbane wisdom tooth removal, and Brisbane wisdom molar surgery.
Members First Ultimate gives you 100% back on up to two 6-monthly check-up and cleans every year at participating providers, claimable outside of yearly limits. This means you can maintain your smile with regular care while also having access to more advanced services when needed – including adult extraction Brisbane, kids tooth extraction Brisbane, TMJ treatment Brisbane, All on 4 Brisbane, cosmetic dentistry Brisbane, orthodontics Brisbane, and dental implants Brisbane.
Yes, we do our best for same-day appointment bookings for emergency cases.
With advanced anesthesia and gentle techniques, most patients hardly feel any pain.
Of course. We treat patients of all ages.
Yes. Our dentists are very skilled and have experience with advanced and complex treatments.
Yes. We are available every day and night for dental emergencies.
Call Us
Email Us
Opening Hours
Monday to Friday 7:45AM to 5:00PM,Call Us
Email Us
Opening Hours
Monday to Friday 7:45AM to 5:00PM,